Knee Osteotomy 
Osteotomies of the Knee
by Amir Jamali, MD
Date last updated 04/29/2017Osteotomies are the mainstay of the concept of joint preservation surgery. Many of our younger patients are not candidates for joint replacement. Our goal is to provide pain relief and return to activities with their own native joint. Osteotomies are surgeries to realign the bones. They are helpful in cases of localized arthritis or deformities. We use a variety of techniques to make these corrections including combinations of these surgeries with cartilage restoration surgeries and ligament reconstructions.
High Tibial Osteotomy
Osteotomy is defined as “the surgical division or sectioning of bone”. Osteotomies are commonly used in the treatment of deformities from congenital or traumatic conditions. Osteotomy has also been applied to cases of knee arthritis isolated to one part of the knee with relative sparing of the other parts. In such cases, the alignment of the leg can be changed to shift the weightbearing line from an area of more damaged cartilage to that of healthy cartilage. High tibial osteotomy is aimed at changing the alignment of the knee to unload the medial (inner) aspect of the knee. It has been widely employed over the past 30 years in cases of isolated medial compartment athritis. The osteotomy for this indication is usually performed on the tibia to maintain the joint parallel to the ground. Early osteotomies were associated with a high rate of complications such as wound breakdown, delayed union, nerve injury, and difficulty with conversion to total knee replacement. More recent advances in fixation technology and our understanding of this procedure have led to a lower complication rate. Traditionally, the osteotomy is indicated in very young patients who would like to continue with an active lifestyle and have isolated arthritis of the medial compartment of the knee such as after a meniscectomy. We perform the procedure using a plate on the inner aspect of the tibia and occasionally use bone graft from the patient’s iliac crest or from a bone bank. Patients are kept in the hospital for 1-2 days and are on crutches for about 6 weeks after the surgery.
High Tibial Osteotomy Clinical Case
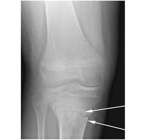
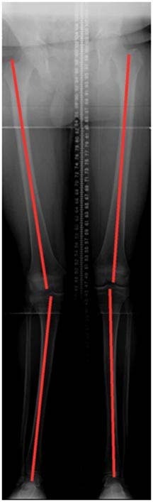
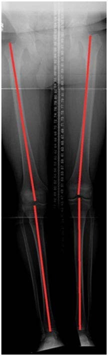
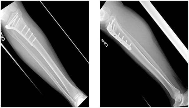
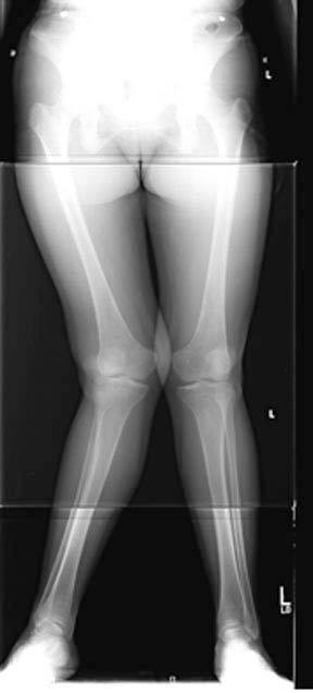
The patient is a 17 year old male who had a motorbike accident with an upper tibial fracture just below the growth plate. He developed a knock kneed (valgus) deformity which caused him substantial knee pain.

1.This xray at the time of the injury shows the fracture below the growth plate (white arrows)

2.Standing alignment radiographs show that he has developed a knock-kneed (valgus) deformity on the right side.

3.Using a specialized computer program, a computerize preoperative plan is created correcting the deformity and providing us with a guide to achieve complete correction of the deformity.

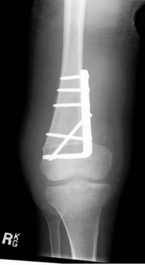
4.Postoperative images showing the use of a titanium plate and a synthetic graft to achieve the desired correction.
Distal Femoral Osteotomy
In cases of isolated arthritis on the outer aspect of the knee combined with a knock-knee deformity (genu valgum), one potential treatment option is an osteotomy of the end of the femur. An osteotomy is a surgical procedure where the end of the femur bone is cut and the femur is realigned to eliminate the deformity. This procedure is done to correct deformities as well as to better distribute the joint contact pressures onto the medial (inner) part of the knee. The osteotomy is usually stabilized with a plate. Patients remain on crutches for about 6 to 8 weeks until there is evidence of healing of the osteotomy. The osteotomy is a good alternative to partial knee replacement in the younger and more active age population.
Distal Femoral Osteotomy Clinical Case
The following case describes a 20 year old female with knee pain and a severe knock-knee deformity (genu valgum) of both of her knees. She had not responded to physical therapy or medications.

1. This long casette radiograph demonstrates the severe deformity in her femurs that is causing the knock-knee deformity. She elected to undergo a correctional osteotomy of the femur in order to help her pain as well as to decrease the chance of progression of arthritis in the outer part of her knee. The contours of the femur are traced on paper and the correction of the deformity is planned.

2.This final radiograph demonstrates the profound correction of the deformity. The osteotomy takes approximately eight weeks to heal. The patient is kept on crutches throughout this period of time.
References
- Insall JN. High tibial osteotomy in the treatment of osteoarthritis of the knee. Surg Annu. 1975;7:347-359.
- Mallory TH, Dolibois JM. Unicompartment total knee replacement: a 2--4 year review. Clin Orthop Relat Res. Jul-Aug 1978(134):139-143.
- Aglietti P, Rinonapoli E, Stringa G, Taviani A. Tibial osteotomy for the varus osteoarthritic knee. Clin Orthop Relat Res. Jun 1983(176):239-251.
- Brouwer RW, Jakma TS, Bierma-Zeinstra SM, Verhagen AP, Verhaar J. Osteotomy for treating knee osteoarthritis. Cochrane Database Syst Rev. 2005(1):CD004019.
- Feeley BT, Gallo RA, Sherman S, Williams RJ. Management of osteoarthritis of the knee in the active patient. J Am Acad Orthop Surg. Jul 2010;18(7):406-416.
- Fu D, Li G, Chen K, Zhao Y, Hua Y, Cai Z. Comparison of high tibial osteotomy and unicompartmental knee arthroplasty in the treatment of unicompartmental osteoarthritis: a meta-analysis. J Arthroplasty. May 2013;28(5):759-765.
- Gardiner A, Richmond JC. Periarticular osteotomies for degenerative joint disease of the knee. Sports Med Arthrosc. Mar 2013;21(1):38-46.
- Bonasia DE, Governale G, Spolaore S, Rossi R, Amendola A. High tibial osteotomy. Curr Rev Musculoskelet Med. Dec 2014;7(4):292-301.
- Brouwer RW, Huizinga MR, Duivenvoorden T, et al. Osteotomy for treating knee osteoarthritis. Cochrane Database Syst Rev. Dec 13 2014;12:CD004019.
Tibial Tubercle Osteotomy
Tibial tubercle osteotomy is a surgical procedure which is performed along with other procedures to treat patellar instability, patellofemoral pain, and osteoarthritis. This is a quite safe procedure and provides excellent access and surgical exposure during a difficult primary or revision total knee arthroplasty. Surgical treatment is indicated when physical therapy and other nonsurgical methods have failed and there is history of multiple knee dislocations. Tibial tubercle transfer technique involves realignment of the tibial tubercle (a bump in the front of the shin bone) such that the knee cap (patella) traverses in the center of the femoral groove. The patellar maltracking is corrected by moving the tibial tubercle medially, towards the inside portion of the leg. This removes the load off the painful portions of the knee cap and reduces the pain.
Surgical technique
The procedure is performed under general anesthesia and you will be completely unaware of the surgery until you wake up in the recovery room. At first, knee arthroscopy will be performed to inspect the inside portions of the knee joint. It involves small incisions or portals through which small instruments are passed and a video camera is used to visualize the anatomy of the knee joint, evaluate patella cartilage and assess patella tracking.
Tibial tubercle osteotomy and transfer is done through an incision made in the front of your leg just below the patella. In osteotomy procedure, a periosteal incision of 8-10 cm length is made at 1cm medial to the tibial tubercle. With the help of an oscillating saw, a cut is made medial to the tuberosity and a distal cut is also made. The tapered design of the distal cut avoids the risk of tibial fracture. Similarly, a proximal cut is made using appropriate instruments such as curved osteotome or reciprocating saw. Then an osteotomy through the bone cortex is performed without cutting off the lateral periosteum. The lateral periosteum serves as a point of attachment for the osteotomy segment. By doing this, a tibial tubercle segment which is more than 2 cm in width, more than 1 cm in thickness and 8-10 cm length can be obtained. It should include all portions of insertion of the patellar tendon. The segment from the tibia is then levered using osteotome to provide access to the medullary canal of the tibia.
The osteotomy segment is then moved under direct vision into a position that assures proper tracking of the patella. The tracking pattern can be confirmed arthroscopically. The mobilized bone is then fixed into its new place using screws, which can be removed later if they cause irritation.
Post-surgery Care
You may have minimal to moderate knee discomfort for several days or weeks after the surgery. Oral pain medications will be prescribed that helps control your pain. Keep the operated leg elevated and apply ice bag over the area for 20 minutes. This decrease swelling as well as pain. You will have a leg brace which may be removed only while sitting with your leg elevated and when using the continuous passive motion (CPM) unit. Physical therapy exercises should be done as it helps in regaining mobility. Eat healthy food and drink plenty of water.
Risks and complications
Risks following tibial tubercle osteotomy surgery are rare but may include compartment syndrome, deep vein thrombosis, infections and delayed bone healing.












