Meniscal Repair and Transplantation
Meniscal Injuries
The meniscus is a flexible tissue within the knee which helps to distribute the pressures from the rounded end of the femur onto the relatively flat tibia. The meniscus can often tear due to trauma or in the setting of arthritis. In some cases, the entire meniscus can tear from its edge leading to the appearance of a bucket handle. The source of pain from meniscus tears is not definitely known however one of the theories is that the tear causes traction on the capsule of the joint which is highly innervated. Additionally, a meniscus fragment can be lodged in the joint and can act as a foreign body leading to clicking and even locking the knee in a certain position with substantial pain. The healing potential of a tear of the meniscus depends on the presence of blood supply which can provide cells and chemical mediators to heal the tear. The blood supply is diminished in the central edge of the meniscus. This area is termed the “white zone”. Tears in this region are best treated with debridement and removal of the torn segment. In the event of a tear in the outer, more vascular region (“red zone”), the meniscus can be repaired using various techniques. Prior to the advent of arthroscopy and our current knowledge of the importance of the meniscus, surgeons routinely removed the entire meniscus in the event of a tear. Currently, using arthroscopic instruments, most surgeons simply remove the injured region or attempt to repair the meniscus based on the location. If the entire meniscus is severely damaged and has to be removed, that portion of the knee is almost guaranteed to develop osteoarthritis. In such cases, the transplantation of a frozen meniscus cadaveric graft (allograft) is a recently available option. In this procedure, a frozen meniscus with bone plugs at the ends is transferred to the affected compartment. The bone plugs are placed in bone tunnels in the affected tibia and the soft tissue portion of the meniscus is sewn to the outer envelope of the joint (the capsule). The goals of meniscal transplantation is to decrease pain in the knee, to preserve the joint cartilage by reducing high contact pressures exposed to it, and to help restore the stabilizing effect of the meniscus on the knee.
Meniscal Transplantation
In cases of a severely damaged meniscus tear in a young patient with persistent knee pain and evidence of early arthritis, a meniscus transplant may be indicated. In this procedure, a frozen meniscus with bone plugs at the ends is transferred to the affected compartment. The bone plugs are placed in bone tunnels in the affected tibia and suture through the bone tunnels. The soft tissue portion of the meniscus is sewn to the outer envelope of the joint (the capsule). The performance of a meniscus transplant has been shown to decrease pain and improve function in patients with total or subtotal meniscal injuries. Over time, the patients own cells can repopulate the meniscal tissue. The goals of meniscal transplantation is to decrease pain in the knee, to preserve the joint cartilage by reducing high contact pressures exposed to it, and to help restore the stabilizing effect of the meniscus on the knee.
CLINICAL CASE: MEDIAL MENISCUS TRANSPLANTATION
The patient is a 40 year old male with a work related twisting injury to his right knee. He underwent nearly complete medial meniscectomy of his knee at an outside institution. He continues to complain of knee pain on the medial aspect of his knee.

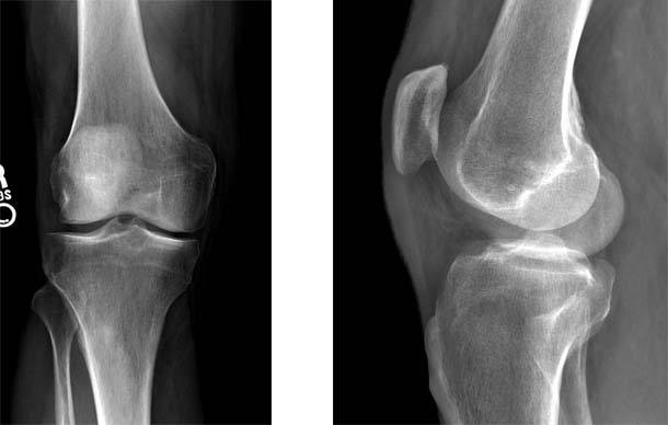
1.The standard radiographs of his knee show minimal evidence of arthritis.

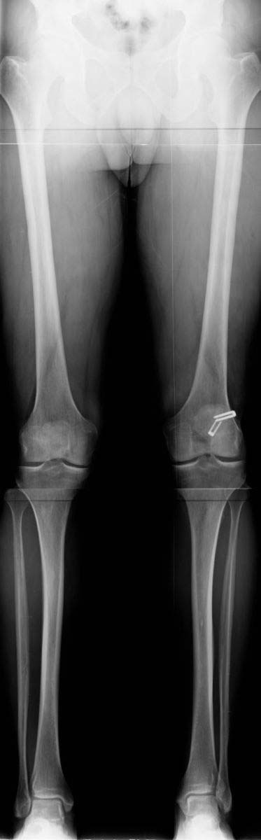
2.Standing alignment radiographs are routinely obtained. These demonstrate a mechanical and anatomical alignment that is within the normal range eliminating the need for corrective osteotomy.

3.A coronal MRI image demonstrates the complete absence of the posteromedial aspect of the medial meniscus.

4.Meniscal allograft transplantation was recommended to the patient based on the overall healthy appearance of his articular cartilage, the normal alignment of the lower extremity, and the near complete absence of the posterior horn of the medial meniscus. In the image at the top of the series of 3 above, the meniscus tissue is shown to be completely absent (black arrow) from the edge (capsule) of the joint. In the image in the center, the allograft meniscus is shown at the time of surgery. On the image at the bottom of the series of 3 above, the post-transplantation images of the graft are shown (black arrow)
References
- Rijk PC. Meniscal allograft transplantation--part II: alternative treatments, effects on articular cartilage, and future directions. Arthroscopy. Oct 2004;20(8):851-859.
- Rijk PC. Meniscal allograft transplantation--part I: background, results, graft selection and preservation, and surgical considerations. Arthroscopy. Sep 2004;20(7):728-743.
- Khetia EA, McKeon BP. Meniscal allografts: biomechanics and techniques. Sports Med Arthrosc. Sep 2007;15(3):114-120.
- Lubowitz JH, Verdonk PC, Reid JB, 3rd, Verdonk R. Meniscus allograft transplantation: a current concepts review. Knee Surg Sports Traumatol Arthrosc. May 2007;15(5):476-492.
- Verdonk R, Almqvist KF, Huysse W, Verdonk PC. Meniscal allografts: indications and outcomes. Sports Med Arthrosc. Sep 2007;15(3):121-125.
- Sohn DH, Toth AP. Meniscus transplantation: current concepts. J Knee Surg. Apr 2008;21(2):163-172.
- Hergan D, Thut D, Sherman O, Day MS. Meniscal allograft transplantation. Arthroscopy. Jan 2011;27(1):101-112.
- Verdonk R, Volpi P, Verdonk P, et al. Indications and limits of meniscal allografts. Injury. Jan 2013;44 Suppl 1:S21-27.












