Shoulder Trauma
Shoulder injuries most commonly occur in athletes participating in sports such as swimming, tennis, pitching, and weightlifting. The injuries are caused due to the over usage or repetitive motion of the arms.
Shoulder injuries cause pain, stiffness, restricted movements, difficulty in performing routine activities, and popping sensation.
Some of the common shoulder injuries include sprains and strains, dislocations, tendinitis, bursitis, rotator cuff injury, fractures, and arthritis.
-
Sprains and strains: A sprain is stretching or tearing of ligaments (tissues that connect adjacent bones in a joint). It is a common injury and usually occurs when you fall or suddenly twist. A strain is stretching or tearing of muscle or tendon (tissues that connect muscle to bone). It is common in people participating in sports. Strains are usually caused by twisting or pulling of the tendons.
-
Dislocations: A shoulder dislocation is an injury that occurs when the ends of the bone are forced out of its position. It is often caused by a fall or direct blow to the joint while playing contact sport.
-
Tendinitis: It is an inflammation of a tendon, a tissue that connects muscles to bone. It occurs because of injury or overuse.
-
Bursitis: It is an inflammation of fluid filled sac called bursa that protects and cushions your joints. Bursitis can be caused by chronic overuse, injury, arthritis, gout, or infection.
-
Rotator cuff injury: The rotator cuff consists of tendons and muscles that hold the bones of the shoulder joint together. Rotator cuff muscles allow you to move your arm up and down. Rotator cuff injuries often cause a decreased range of motion.
-
Fractures: A fracture is a break in the bone that commonly occurs because of injury, such as a fall or a direct blow to the shoulder.
-
Arthritis: Osteoarthritis is the most common type of shoulder arthritis, characterized by progressive wearing away of the cartilage of the joint.
Early treatment is necessary to prevent serious shoulder injuries. The immediate mode of treatment recommended for shoulder injuries is rest, ice, compression and elevation (RICE). Your doctor may also prescribe anti-inflammatory medications to help reduce the swelling and pain.
Your doctor may recommend a series of exercises to strengthen shoulder muscles and to regain shoulder movement.
Any problem causing pain, swelling, discoloration, numbness or a tingling sensation, or abnormal position of the hand, wrist, or elbow that persists for more than two or three days should be evaluated by your doctor to establish the cause and obtain the best treatment as early as possible.

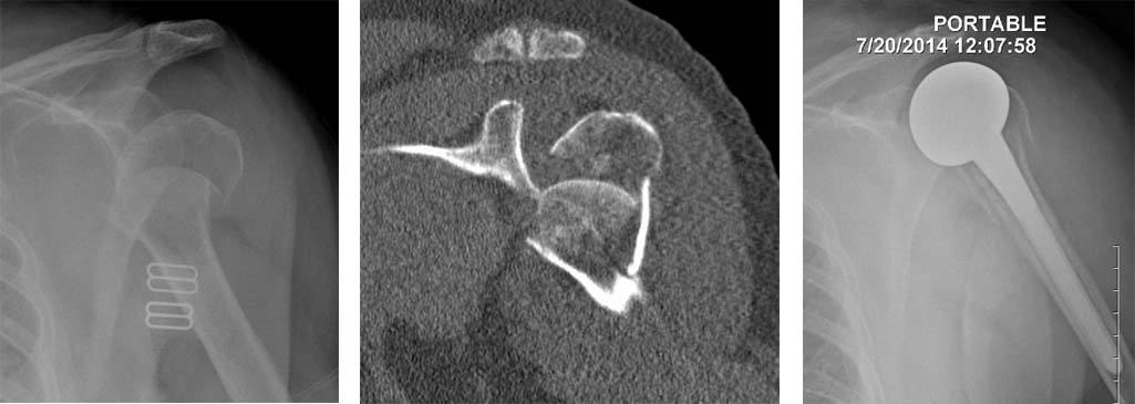
1. A 58 year old male with a fall at home and a severe fracture of the head of the humerus. The middle panel is a 3 dimensional reconstruction of the fracture showing the multiple pieces involved. He was treated with a plate and screws.

2. A 64 year old female with a fall in outdoors with a severe fracture of the head of the humerus. The middle panel shows the head to be disintegrated into multiple small fragments. She was treated with partial shoulder replacement.












